고르다 임플란트 수술이란?
치아의 원래 기능을 정상으로 회복시킬 수 있도록 최선을 다하겠습니다.


임플란트는 자연 치아가 빠진 부위의 턱 뼈에 금속으로 만들어진
인공 치근을 심어 인공 치아를 고정함으로써 본래 자연 치아의 기능성과
심미성을 회복하는 치료 입니다. 기존의 틀니나 브릿지보다 효과적인
치료 방법으로 간단한 수술이 아니기 때문에 임플란트 임상경험이 풍부하며
숙련된 의료진의 섬세한 기술력과 노하우가 중요합니다.






환자의 10년 후 치아까지 생각하는 신중한 치료
임플란트 수술 후 출혈, 통증, 붓기, 임플란트 주위염 등의 부작용이 있을 수 있습니다.
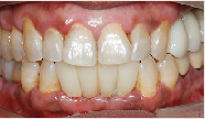
Before
After
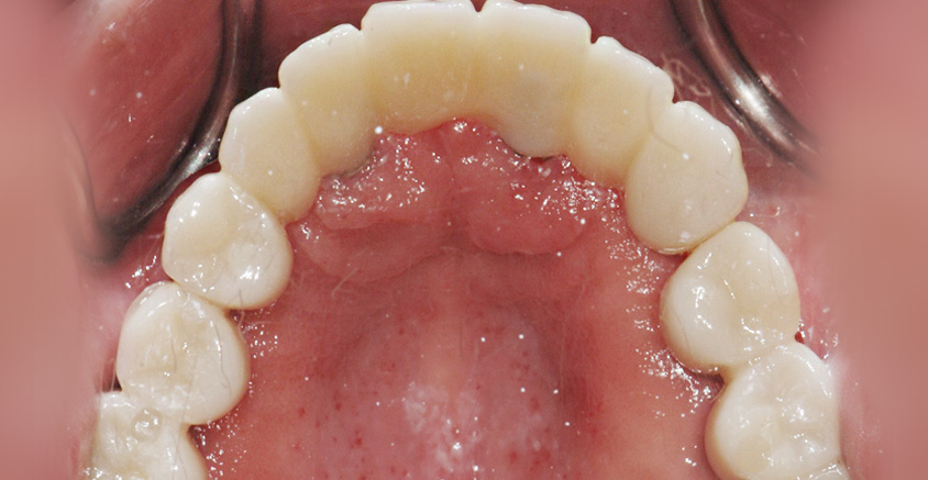
Before
After